Slučaj 34

Početna Slučaj 34

Slučaj 34

Slučaj 34

  • Slučajevi

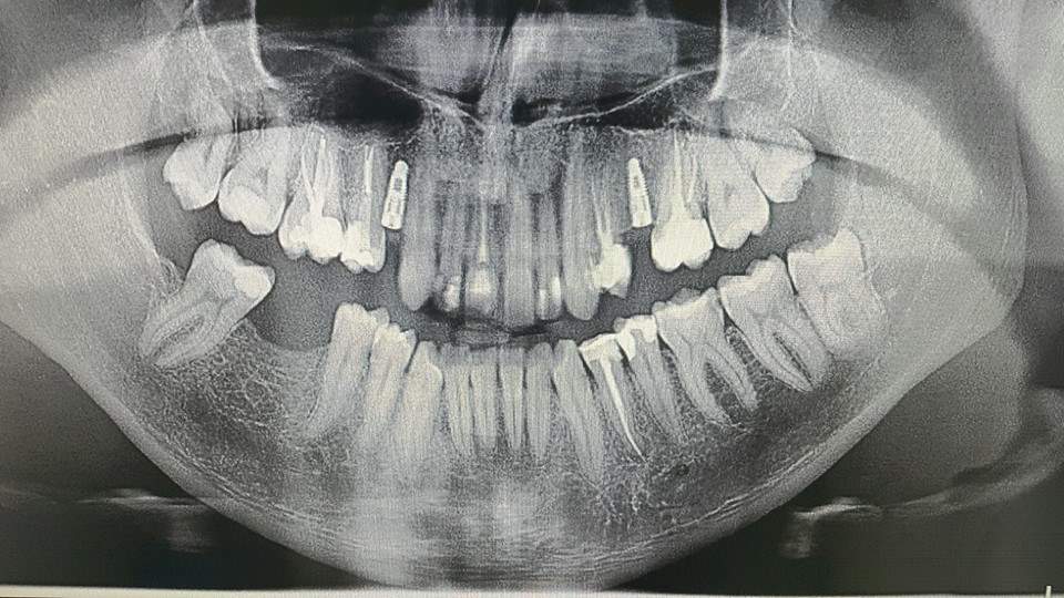
Nedostatak zuba, gornjeg desnog prvog premolara i gornjeg lijevog drugog premolara, nadoknađen je ugradnjom implantata a u gornjem frontu postavljene su estetske bezmetalne krunice.