Protetika

Početna Protetika

Protetika

Protetika

  • Usluge

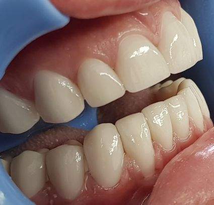
Cirkon-keramičke krunice

Zahvaljujući napretku tehnologije omogućena je upotreba najkvalitetnijih, savremenih materijala koji udovoljavaju svim zahtjevima funkcionalnog opterećenja, izdržljivosti te savršene estetike. Jedan od takvih savremenih materijala je cirkonij oksid, material izuzetne čvrstoće a istovremeno estetski, sa kojim se u kombinaciji sa najkvalitetnijom keramikom postiže najprirodniji izgled krunica.

Prednost cirkonij oksidne keramike se ogleda u slijedećem:

  • Vrhunska estetika
  • Prirodni izgled krunica
  • Izuzetna čvrstoća i izdržljivost
  • Biokompatibilnost
  • Nema diskoloracije gingive

Osim pojedinačnih krunica, od cirkonij oksida se mogu izrađivati mostovi do 16 članova, kombinovani radovi sa attachmenima te suprastrukture na implantatima.

 

100% Zirconia

Osim izrade krunica na bazi cirkonij oksida u kombinaciji sa keramikom možemo vam ponuditi i izradu krunica od 100% cirkona – Cirkon Prettau

Firma ZirkonZahn je razvila poseban cirkon. Prettau cirkon je visoko translucentan cirkon velike tvrdoće (1200Mpa). Posebna tehnika bojenja Prettau cirkona u zelenoj fazi, omogućuje potpunu estetiku u izradi protetskih radova bez pečenja keramike (100% Zirconia). Posebno u polju implantologije dolazi do izražaja prednost izrade okluzalnih ploha u potpunom cirkonu bez mogućnosti lomova i pucanja keramike (fenomen chipinga). Sva kritična mjesta, plohe ili kvržice mogu biti od potpunog cirkona. Također Prettau cirkon nalazi svoju primjenu i pri izradi fiksnih restauracija u bočnim zonama gdje su izraženije mastikatorne sile. Prettau cirkon karakterizira vrhunska estetika i izrazita čvrstoća.

 

Staklokeramičke krunice

Staklokeramičke krunice zadovoljavaju visokoestetske zahtjeve pacijenata. Keramika u potpunosti oponaša optička svojstva  prirodne cakline zuba kao što su translucencija, transparencija i luminiscencija što rezultira krunicom koju gotovo nije moguće razlikovati od prirodnog zuba. S obzirom da ove krunice ne sadrže metal, ne dolazi do obojenosti ruba gingive. Ove krunice se predlažu za prednje zube kako bi se dobila vrhunska estetika.

 

Veneers – ljuspice za zube

Keramičke ljuspice ili Veneers jedno su od najčešćih rješenja u savremenoj estetskoj stomatologiji za postizanje savršenog osmijeha. Za izradu ljuspica potrebna je minimalna preparacija tj brušenje zuba zbog čega imaju prednost u odnosu na pune keramičke krunice.  Izradom ljuspica moguće je ispravljanje mnogih nepravilnosti poput obilka, veličine , položaja i boje zuba. Izrada ljuspica je moguća u svega 2-3 posjete.

NO PREP ljuspice

No prep ljuspice su tanki, protetski, estetski nadomjestak čijim postavljanjem se poboljšava izgled i osmijeh u cjelosti. Ove ljuspice su posebne po tome što ne zahtijevaju niti najmanje brušenje zuba. Imaju snažnu vezu sa caklinom  a služe za:

  • Zatvaranje dijastema, odnosno razmaka izmedju zuba
  • Proširenje ili produženje krunica
  • Ispravljanje položaja zuba
  • Ispravljanje diskoloracije zuba
  • Ispravljanje caklinskih defekata

Izrada ovih ljuspica moguća je u svega 2 posjete.  U prvoj posjeti nakon pregleda i konsultacija sa stomatologom uzima se otisak zuba na koje će se postavljati No Prep ljuspice. Otisci se šalju u laboratorij gdje se sa najmodernijim CAD/CAM uređajima izrađuju ljuspice. U drugoj posjeti ljuspice se cementiraju posebnim cemntima i provjerava se zagriz kako bi bili sigurni da su kontakti na zubima ravnomjerno raspoređeni.

 

Metal-keramičke krunice

Također u našoj ordinaciji ordinaciji nudimo i izradu metal-keramičkih krunica čija je baza napravljena od legure metala a koja je u cjelosti prekrivena keramikom. Metali koji se koriste za izradu ovih krunica su zlatne legure, legure drugih metala (paladij, titanijum) ili legure s osnovom čelika kao nikal ili krom. Prednost ovih krunica je njihova čvrstoća i konzistentnost te se preporučuju za postavljanje na bočne zube gdje su prisutne jake žvačne sile.

 

Pored ovog nudimo i izradu kombinovanih radova sa attachmenima na bazi metala ili cirkona kao i izradu totalnih i parcijalnih akrilatnih proteza, skeletiranih (Wissil) proteza. Na sve proteze moguće je postaviti šestoslojne (phisiodens) zube koji daju prirodniji izgled zuba.

Pogledajte neke primjere cirkon-keramičkih krunica, ljuspica i metal-kermaičkih krunica urađenih u našoj ordinaciji.