Slučaj 62

Početna Slučaj 62

Slučaj 62

Slučaj 62

  • Slučajevi

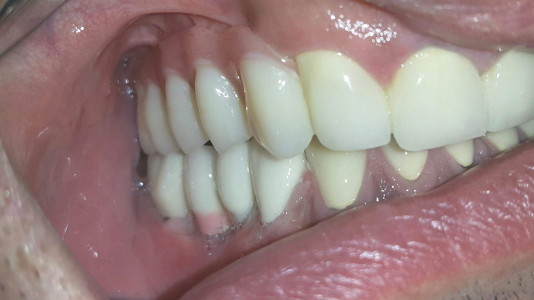
Uslijed nedostatka zuba u bočnoj regiji donje vilice pacijent se odlučio na ugradnju po dva implantata na svakoj strani. Nakon perioda oseointegracije na implantatima su napravljena dva metal-keramička mosta.