Pratite nas:
Facebook
+387 33 236 118
[email protected]
Language
bs
en
Početna
Usluge
Dječija i preventivna stomatologija
Endodoncija i konzervativa
Estetska stomatologija
Implantologija
Oralna hirurgija
Parodontalna hirurgija
Protetika
Dodatne usluge
Galerija
Slučajevi
Ordinacija
O nama
Tradicija
Download
FAQ
Novosti
Kontakt
Slučaj 8
Početna
→
Slučaj 8
Slučaj 8
Slučajevi
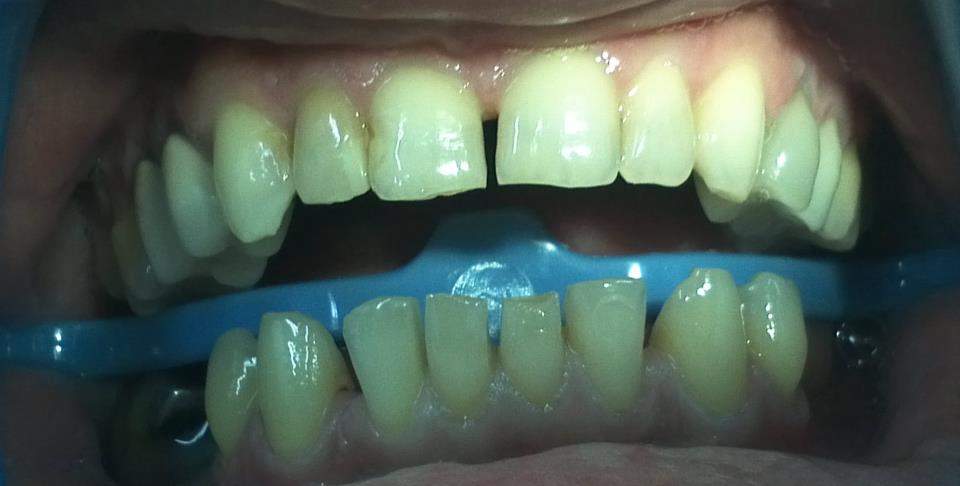
Rekonstrukcija osmijeha cirkon-oksidnim krunicama
Povezani sadržaj
05.11.2018.
Slučaj 72
Slučajevi
Pročitaj više
05.11.2018.
Slučaj 71
Slučajevi
Pročitaj više
05.11.2018.
Slučaj 70
Slučajevi
Pročitaj više
05.11.2018.
Slučaj 69
Slučajevi
Pročitaj više
Posljednje vijesti
Slučaj 72
Slučaj 71
Slučaj 70
Slučaj 69
Kategorije
Osnovne informacije
(0)
Galerija
(76)
Novosti
(1)
Download
(8)
O nama
(2)
Usluge
(8)
Rezervišite termin
×
Vaše ime
Vaš e-mail
Vaš telefon
Datum
Pošalji